Skin Merkel Cell Histology
Merkel cells are located deep in the top layer of skin.
![]()
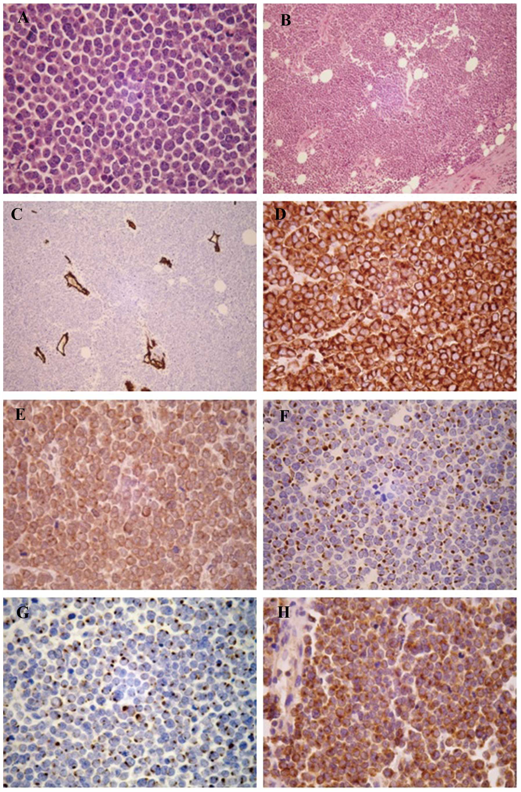
Skin merkel cell histology. Histology of merkel cell carcinoma. The virus merkel cell polyomavirus lives on the skin and doesnt cause any signs or symptoms. Mcc is a small round blue cell tumor composed of monomorphous cells with scant almost indiscernible cytoplasm and round to oval or polygonal hyperchromatic nuclei with dispersed chromatin and inconspicuous nucleoli nuclei often appear to be arranged back to back and may show moulding mitoses and apoptotic bodies are frequent. Merkel cells are found at the base of the outermost layer of your skin epidermis.
The tumour forms sheets nests and rarely ribbons. Its a type of skin cancer that occurs when cells in the skin known as merkel cells grow uncontrollably. Merkel cells are thought to be a type of skin neuroendocrine cell because they share some features with nerve cells and hormone making cells. Merkel cells are found in the epidermis epidermis the outermost layer of the two main layers that make up the skin the dermis is the deeper layer.
They are difficult to tell apart from melanocytes. These cells are very close to nerve endings in the skin. Researchers recently discovered that a common virus plays a role in causing most cases of merkel cell carcinoma. Merkel cells normally exist in the bottom basal layer of the epidermis about 01 mm from skins surface.
Outer layer of the skin. They are mostly found in thick skin on the palms of hands and soles of feet. However recent research suggests that it is unlikely that mcc originates directly from normal merkel cells. Merkel cells are found in the skin and some parts of the mucosa of all vertebrates.
Merkel cells are connected to the nerve endings in the skin that are responsible for the sense of touch. The tumour is centered in the dermis with frequent involvement of the overlying epidermis figures 1 2 and may invade the subcutaneous fat. Merkel cells are connected to nerves signaling touch sensation as touch receptors mcc was named after merkel cells due to the similar microscopic features. Merkel cell carcinoma mcc is also called neuroendocrine carcinoma of the skin.
Merkel cells are found mainly at the base of the top layer of the skin the epidermis. These are granular basal epidermal cells attached to a free non myelinated nerve ending which are sensitive to touch mechanoreceptors.























































































